犬に多い、膝関節の進行性疾患。
大腿骨と脛骨を繋ぎ留めている靭帯の一つである「前十字靭帯」が、部分的または完全に断裂することで歩行に困難が生じ、時間経過とともに半月板損傷や関節炎なども引き起こしていく進行性の疾患です。
前十字靭帯断裂は、人の場合ではスポーツでの外傷等によって引き起こされる「急性断裂」が大半ですが、犬の場合では遺伝的な要因や加齢によるコラーゲン組織の脆弱化を原因とする「慢性断裂」がほとんどです。生活の中のささいなリスク要因が少しずつ蓄積していき、ある時、何かのきっかけで断裂。部分断裂か完全断裂かによって炎症・痛み・跛行(はこう=片足を引きずるように歩くこと)の程度は変わってきますが、靭帯は一度切れると元には戻らないので、放置しておくと確実に症状は進行・悪化していきます。
ごく軽度な場合や麻酔リスク等で外科的治療が難しい場合は痛み止めの処方による保存的治療で対応する場合もありますが、根本的な治療を目指すには外科手術が必要となります。
Q. 靭帯とは?
コラーゲン繊維からなる強靭なバンドです。骨と骨を繋ぎ留め、運動時の動きを制御したり、関節を保護したりする役目があります。
4つの靭帯の役割
  • 前十字靭帯
    脛骨が前方に飛び出ないように
  • 後十字靭帯
    脛骨が後方にねじれないように
  • 内側側副靱帯
    膝が内側に入り過ぎないよう
  • 外側側副靱帯
    膝が外側に動き過ぎないように
症状
前十字靭帯が断裂すると、炎症や痛みが生じると共に、支えを失った脛骨が前に滑り出る状態となり、グラグラして体重を乗せられなくなります。そのため、その足をかばうような歩き方をすることになります。こんな様子に気づいたら、できるだけ早く受診してください。
  • 何となく歩き方がおかしい、引きずっている
  • 歩く時に後ろ肢だけケンケンをすることがある
  • 膝のあたりが腫れているような気がする
  • 散歩の時、なめらかに動き出せない、歩き出すまで時間がかかる
  • ある日突然おかしな歩き方をして痛そうにしていたが数日で痛そうではなくなった
  • 片方の後ろ肢だけ横に流すような左右非対称の座り方をする
予防
生活の中のリスク要因をできるだけ減らすことが最大の予防策となります。次の3つに気をつけてあげてください。
  • 太らせない!
    膝の負担は体重増加と比例します。食生活と運動量のバランスでその子の適正体重を維持しましょう。
  • 滑らせない!
    フローリングなど平滑な床材は、爪を使って蹴り出せないため、歩く時も方向転換する時も膝にとって大きな負担となります。滑らない素材をとりいれて安全な住環境を整えましょう。
  • 飛び降りさせない!
    小型犬やシニア犬にとって、ソファや車から飛び降りることは、前肢にも後肢にも瞬間的に大きなダメージを与えていることになります。今は大丈夫でも危険な生活習慣であることを認識し、改善してあげてください。
TPLO 脛骨高平部水平化骨切り術
膝関節の機能を力学的に安定化
TPLO(Tibial Plateau Leveling Osteotomy)とは、脛骨の上部をカーブ状に骨切りし、角度を変えた状態でインプラント固定することにより膝関節を安定化する手術です。現在、前十字靭帯断裂手術の「機能的安定化術」として獣医療先進国である欧米で最も支持され、高い治療成績をおさめている術式となります。特殊な医療器具と高度な専門技術を要するため、国内で対応可能な動物病院は未だ限られています。
  • Before
    前十字靭帯断裂 (左後肢)
    脛骨が右後肢と比較して前方に変位しているのがわかります。脛骨と大腿骨が接する面がズレて開きができ、上からも下からも力の受け渡しができない状態です。
  • After
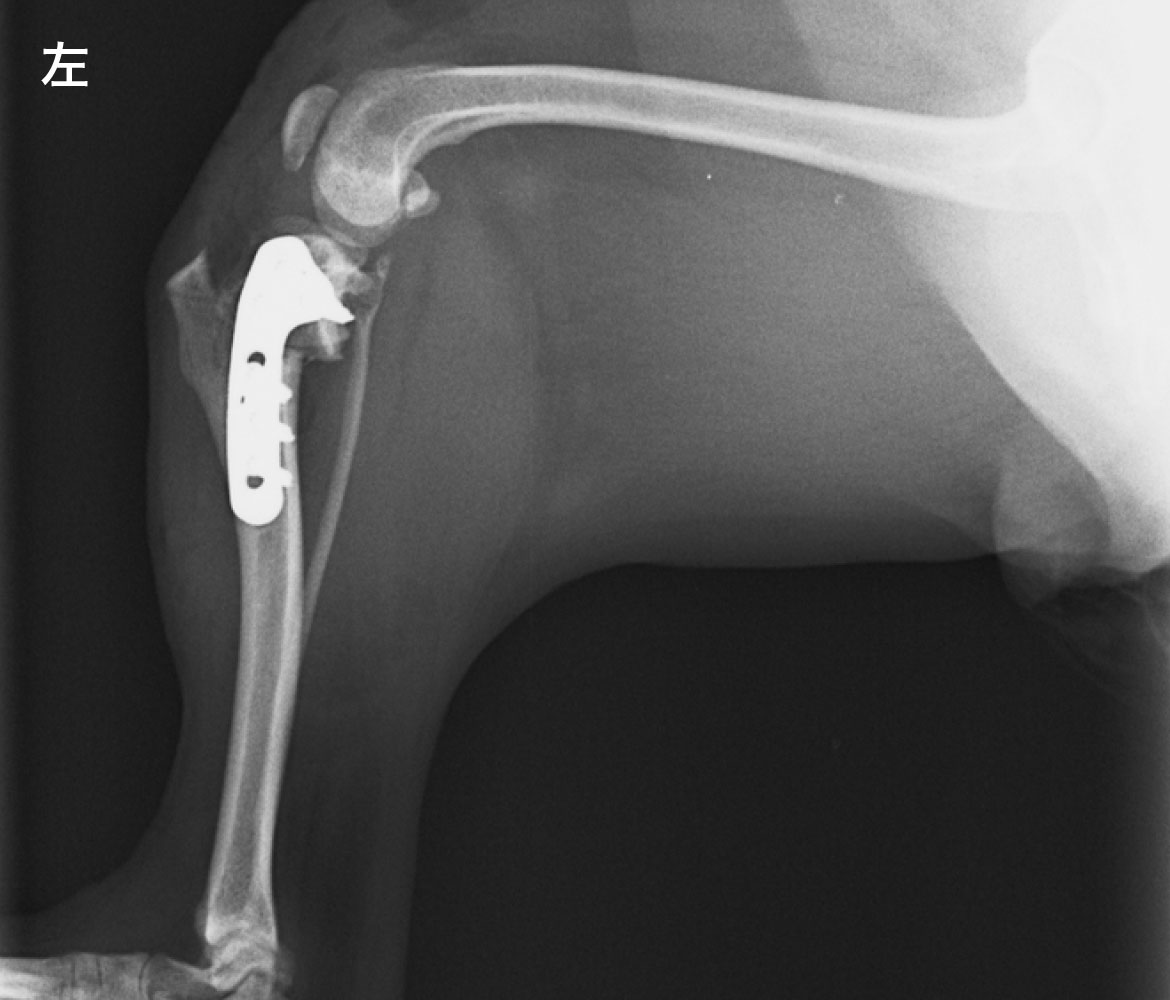
    TPLO 脛骨高平部水平化骨切り術
    脛骨の傾斜が水平に近づくよう位置決めをして、弧を描くように骨切りを行います。切離後、骨片を回転させ、プレートとスクリューで固定します。
TPLOの症例は整形ブログで詳しくご紹介しています。
※手術写真が多く含まれておりますので閲覧にはご注意ください。
HOME 整形外科
前十字靭帯断裂
tel.076-422-5787