通称パテラ、小型犬に多く見られる膝関節疾患。
膝のお皿である膝蓋骨が外れてしまう脱臼は、犬がかかる筋骨格系の病気の中で最も身近な病気の一つです。膝蓋骨は英語でパテラ(patella)といい、脱臼は膝蓋骨のよくある病気であるため、膝蓋骨脱臼のことをいつしかパテラと呼ぶようになりました。膝蓋骨は膝蓋靱帯の裏側に付着し、膝の前面中央に位置しているのが正常な状態です。膝関節を曲げ伸ばしする際は、正面を向いたまま大腿骨の溝をレールにして、まさに〝滑車〟のようになめらかに上下します。しかし、何らかの原因(※)により膝蓋骨がその軌道から外れてしまうことがあります。内側に外れると内方脱臼、外側に外れると外方脱臼と区分され、傾向として内方脱臼は小型犬に、外方脱臼は中型・大型犬に多く見られます。
※
先天的な原因 … 生まれつき骨や筋肉に異常や未発達が認められるもの
後天的な原因 … 落下、打撲、転倒、滑りなど外力による衝撃や外傷によるもの
後天的な原因 … 落下、打撲、転倒、滑りなど外力による衝撃や外傷によるもの
正常
脱臼
脱臼した側に大腿骨も脛骨も引っ張られる形になり、ねじれが生じます。
Q. 膝蓋骨脱臼とは?
膝蓋骨が溝から完全に外れた状態を指します。外れかけている状態は脱臼の前段階の「亜脱臼」となります。亜脱臼は自然に戻ることも多いので症状を見逃すこともありますが、繰り返しているうちに外れることが増えていき、脱臼へ至るケースが大半です。
Q. 内方脱臼と外方脱臼の違いは?
犬の脚はもともとO脚気味についていますので、内側に脱臼しやすい構造であると言えます。しかし大型犬では成長期に骨格と筋肉のバランスが崩れやすい等の理由や骨格異常など遺伝的な要因が関係して、外側に脱臼するケースが多く見られます。外側に脱臼すると内側に脱臼するよりも多くの腱・靭帯を損傷してしまうことになるため、症状が重くなる傾向があります。
グレードと症状
膝蓋骨脱臼は4つの段階に分類されます
-
初期段階のため、普段は症状がなく、激しい運動をした後などに症状が現れることがあります。グレード1触診の際、指で押し出すと容易に外れるが指を離すと元に戻る
-
日常生活には支障ありませんが、時を経るにつれ骨の変形が進み、膝蓋骨を支える靱帯も伸びてグレード3へと進行します。グレード2膝関節が不安定で、膝を曲げ伸ばしさせると容易に外れる
-
膝関節を曲げたまま歩こうとするので跛行(はこう~引きずり歩き)が見られます。大腿骨や脛骨の変形も目立ってきます。グレード3常に脱臼した状態だが、触診時に指で整復することができる
-
大腿骨や脛骨の変形がさらに重度になり、患肢を伸展することができなくなります。グレード4常に脱臼した状態で、指で整復しようとしてもできない
▲
▼
軽度
1
2
3
4
重度
- 寝起きの際、後ろ足を挙げたり伸ばしたりしている
- 時々片方の後ろ足をスキップさせるようにして歩く
- 散歩をあまり喜ばなくなった、長い距離を歩けなくなった
- 歩いている時や抱っこしようとする時、突然キャンと啼くことがある
- 膝からパキパキという音が聞こえることがある
- 足を引きずる、痛がって歩けない
治療
軽度(グレード1)で手術をしないを選択をされた場合
下記4つに留意した保存療法で経過観察をおこないます。
-
体重管理関節への負担軽減 -
安静関節への負担軽減 -
薬・サプリ鎮痛剤・抗炎症剤・関節ケアサプリ -
環境改善段差や滑りやすさを軽減
グレード2以上の場合
脱臼は物理的な現象であるため、手術による整復が治療法となります。グレード2以上で適応となります。当院では膝蓋骨を正しい位置で安定させることを目的に、2つの整復術(滑車造溝術と脛骨粗面転位術)に対応しています。
滑車造溝術
かっしゃぞうこうじゅつ
大腿骨の骨を削って“溝”をつくる
脱臼する膝関節では、膝蓋骨が上下動するレールである溝が浅いか、もしくはほとんど溝がない状態であることが多く、適度な深さの溝を外科的に形成する必要があります。
正常な膝
溝に膝蓋骨がはまって滑車運動が可能に
脱臼する膝
滑車が安定走行できる溝がなくツルツル
滑車造溝術では、大腿骨の骨を楔(くさび)状もしくはブロック状に切除して深い溝を形成します。
滑車溝表面のなめらかな硝子軟骨を温存したまま溝を深くし、膝蓋骨が収まりやすい形状に整えます。
滑車溝表面のなめらかな硝子軟骨を温存したまま溝を深くし、膝蓋骨が収まりやすい形状に整えます。
楔状造溝術
V字に切り込みを入れて骨片を取り出し、大腿骨側を一部カットして埋め戻す。
ブロック状造溝術
底面が平らになるよう四角く切り出し、一部カットして埋め戻す。
脛骨粗面転位術
けいこつそめんてんいじゅつ
膝関節のパーツが本来の配置・配列になるよう縦軸を矯正。
成長期に脱臼が起きると、膝蓋骨と膝蓋靱帯に引っ張られる形で脛骨もねじれます。その状態で成長すると、脛骨粗面(膝蓋靭帯が付着しているザラザラした部分)がまっすぐ前を向かず、内向きまたは外向きで定着してしまいます。滑車造溝術で溝を造り、脱臼を整復しても、脛骨のねじれをそのままにしておくと、脛骨粗面に付着している膝蓋靭帯が膝蓋骨を引っ張り戻すことになり、再脱臼のリスクが高くなります。
脛骨粗面転移術とは、粗面を膝蓋靭帯が付着したままの状態で骨切りし、大腿骨の溝、膝蓋骨、脛骨粗面が本来の縦一直線で並ぶ正しい位置まで移動させ、ピンで固定させる手術です。膝蓋骨脱臼において、滑車造溝術と組み合わせて施されることの多い術式になります。
脛骨粗面転移術とは、粗面を膝蓋靭帯が付着したままの状態で骨切りし、大腿骨の溝、膝蓋骨、脛骨粗面が本来の縦一直線で並ぶ正しい位置まで移動させ、ピンで固定させる手術です。膝蓋骨脱臼において、滑車造溝術と組み合わせて施されることの多い術式になります。
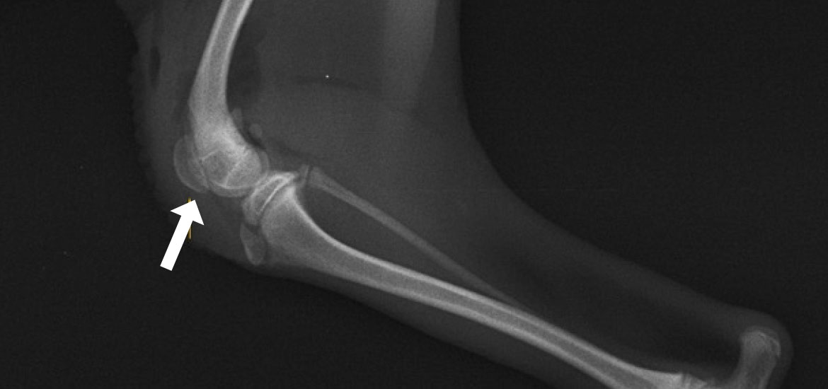
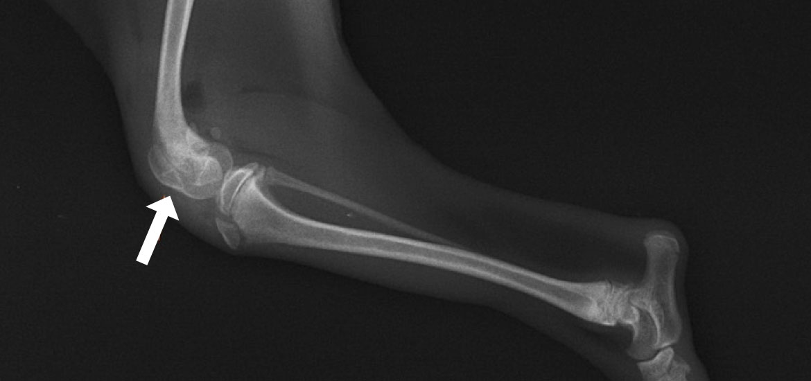
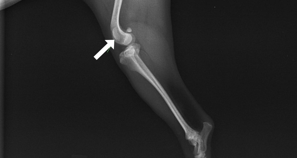
内方脱臼(右後肢)
-
Before
膝蓋骨が内側(内方)に変位しています -
After
膝蓋骨が正常な位置(正中)に整復されています
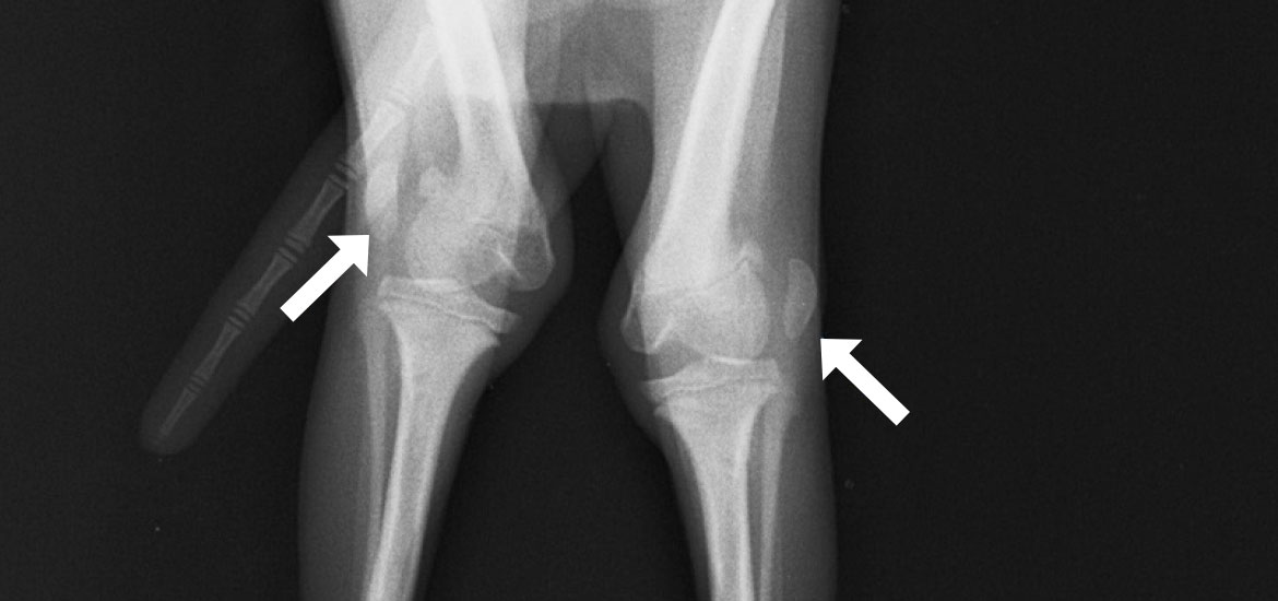
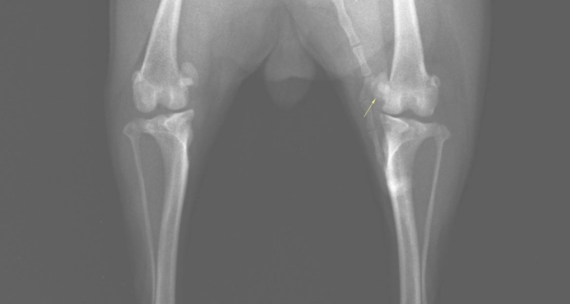
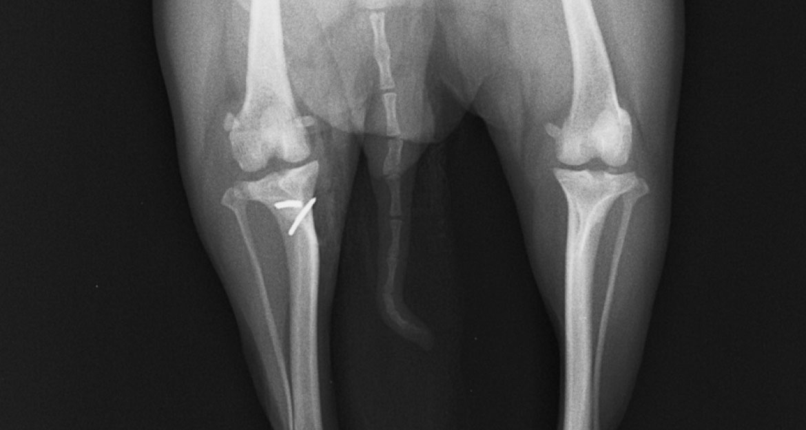
外方脱臼(両後肢)
-
Before
外方脱臼によりX脚に -
After
膝蓋骨が整復され、脚も真っ直ぐになりました
膝蓋骨脱臼の症例は整形ブログで詳しくご紹介しています。
※手術写真が多く含まれておりますので閲覧にはご注意ください。
- 2025.08.16 トイ・プードルの膝蓋骨外方脱臼に対する整復術
- 2025.07.24 チワワの膝蓋骨内方脱臼に対する整復手術